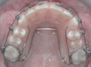
BIHELIX
Podobné jako patrový třmen.
To je takový drát, který vám přichytne na kroužky a je to!
Ovšem není to tak rychlé, jak tady píšu, protože ještě to musí upravit, aby vás to třeba netahalo,..
Slouží to k tomu, aby vám to trochu roztáhlo čelist.
Může vám to nechat i po celou dobu fixních rovnátek.
Toť je vše!!! 


Komentáře
Přehled komentářů
já to mám 1. den tak ještě moc nevím ale zachytává se mi na to jídlo :D musím to vždy jazykem jakdyby výtáhnout. Neznáte nějkaou radu jak jíst normálně :DD ?
Problém s jídlem
(Tomáš, 15. 4. 2013 20:34)